Enfermedad
de Kienböck
¿Cuáles son las causas?
Su causa es desconocida. Lo más probable es que sea la combinación de varios factores predisponentes y no exista un único responsable de la necrosis. Se han descrito factores mecánicos, traumáticos y vasculares.
Aunque la causa exacta no siempre se conoce, algunos factores de riesgo incluyen:
Trauma repetitivo o una lesión previa en la muñeca. fracturas y traumatismos. En más de 80% de los casos existen antecedentes traumáticos, pero se desconoce si son una causa o una consecuencia de la enfermedad.
Alteraciones mecánicas o anatómicas, como una discrepancia en la longitud de los huesos: tener un cúbito corto (figuras 1 y 2) y una determinada forma anatómica de semilunar (tipo I) (figura 3).

Figura 1: zonas del dorso de la mano
(clasificación de Kleinert y Verdan)

Figura 3

Figura 2
Figuras 1 y 2: cúbito minus o corto (predisponente de Kienböck)
Figura 3: tipos de formas del semilunar. Mayor riesgo el tipo I con cúbito corto
Factores vasculares, como una irrigación sanguínea insuficiente al semilunar. el hueso semilunar tiene un aporte sanguíneo precario y los tipos I y II no tienen uniones sanguíneas (anastomosis).
Factores genéticos, aunque son menos comunes.
Síntomas de la Enfermedad de Kienböck
Los síntomas de la Enfermedad de Kienböck son dolor en el centro de la muñeca y disminución de la movilidad.
Además, puede ocasionar tumefacción en el dorso de la muñeca,
La pérdida de fuerza y de masa muscular en el antebrazo también son característicos de esta patología.
En ocasiones provoca un síndrome del túnel del carpo con hormigueos en los dedos.

Figura 4: semilunar con esclerosis radiológica y pérdida de altura. Cúbito minus

Figura 5: enfermedad de Kienböck en estadio precoz (en la RNM el semilunar se ve de color negro)
Diagnóstico de la Enfermedad
Junto con los síntomas y la exploración física, es necesario realizar pruebas de imagen radiológicas. En la radiografía simple se pueden observar cambios en la densidad ósea del semilunar y las variantes morfológicas óseas (figura 4).
La resonancia nuclear magnética (RNM) es la prueba diagnóstica más útil porque permite el diagnóstico precoz de la enfermedad de Kienböck y evalúa los resultados tras la cirugía (figura 5). La tomografía axial computarizada (TAC) permite valorar mejor la estructura ósea y un estadiaje más preciso.

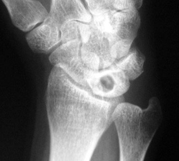
Figura 6: ganglión intraóseo del semilunar
Diagnóstico diferencial
Hay que hacer un diagnóstico diferencial con una serie de procesos que pueden ocasionar unos síntomas y pruebas radiológicas similares, como son: ganglión intraóseo (figura 6), isquemia transitoria del semilunar, enfermedades inflamatorias de la muñeca, osteocondritis disecante del semilunar, síndrome de impactación cúbito-carpiano y fractura del semilunar (poco frecuente).
Clasificación de la Enfermedad de Kienböck
La clasificación de la enfermedad de Kienböck más utilizada es la de Lichtman, tiene 4 estadios clínico-radiológicos, orientación terapéutica y alta reproductibilidad.
I: morfología y densidad radiológica del semilunar normal. En RNM sí se aprecia sí se aprecia de distinta condensación debido a la falta de sangre (figura 5).
II: esclerosis radiológica con morfología normal (figura 6).
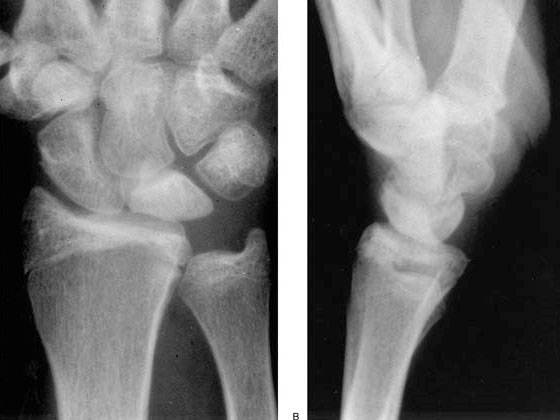
III: fragmentación y ensanchamiento del semilunar. Se distinguen 2 subtipos:
IIIA: sin colapso del carpo, es decir, se mantiene la altura del carpo (figuras 7 y 8).
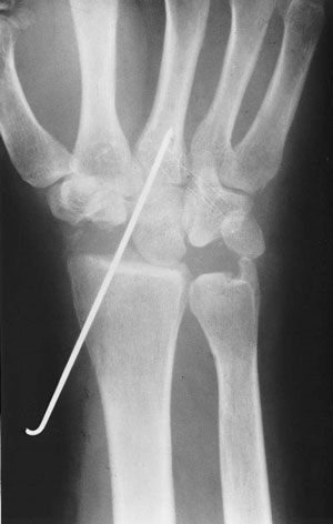
IIIB: con colapso del carpo o rotación fija del escafoides (figura 9).
IV: semilunar desintegrado y degeneración artrósica radio y mediocarpiana.

Figura 6 estadio II de la enfermedad de Kienböck

Figura 7

Figura 8
Etapas de la enfermedad
La enfermedad de Kienböck progresa en varias etapas:
1 Alteración temprana en el flujo sanguíneo al semilunar sin cambios visibles en radiografías.
2 Endurecimiento o esclerosis del semilunar.
3 Colapso del semilunar con afectación de articulaciones circundantes.
4 Daño avanzado con artrosis en la muñeca.
Descubre cómo nuestros especialistas en traumatología y cirugía de la mano

Tratamiento de la enfermedad de Kienböck
El objetivo es tener una muñeca indolora y funcional, por lo que es importante controlar el colapso carpiano.
Tratamiento conservador
El tratamiento conservador consiste en el uso de una ortesis rígida temporal en posición funcional y antinflamatorios para aliviar los síntomas. Sus resultados son variables.
Técnicas de descomprensión
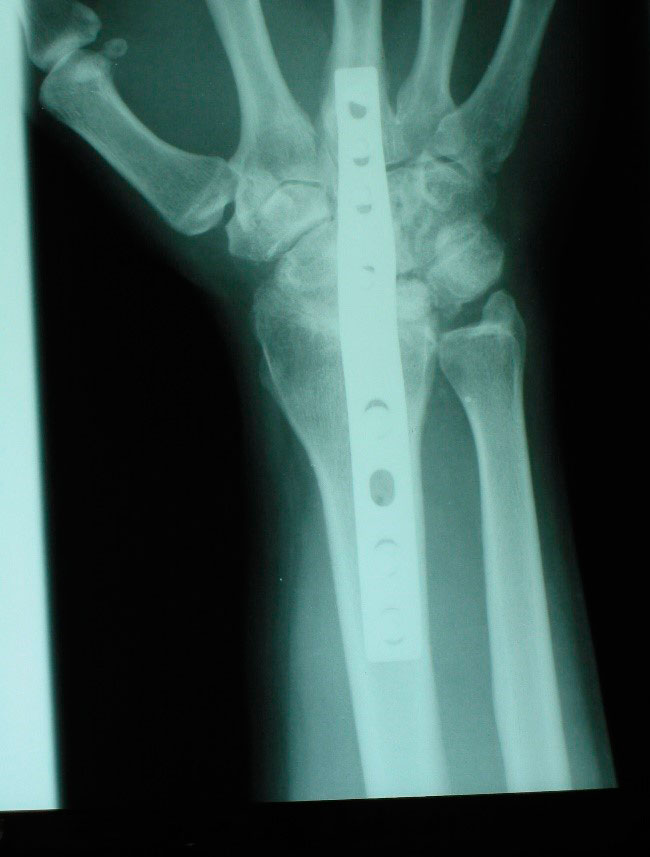
Las técnicas de descompresión consisten en realizar osteotomías de acortamiento (cortar hueso) del radio o del hueso grande, con el objetivo de disminuir la sobrecarga del semilunar.
Nosotros realizamos una osteotomía de valguización del radio que consiste en extraer una cuña de base radial y se fija con una placa (figura 9).
Tratamiento quirúrgico
El tratamiento quirúrgico varía dependiendo del estadio radiológico y de la demanda funcional del paciente. En los estadios I, II, IIIA se realizan medidas de descompresión y revascularización, en el IIIB técnicas de descompresión o paliativas y en el IV solo medidas paliativas.
Técnicas de revascularización
Las técnicas de revascularización consisten en realizar colgajos vascularizados para intentar aportar sangre y células óseas vivas. Existen diferentes aportes vasculares para realizar el colgajo pediculado (figura 10). Estas técnicas se pueden realizar solas o asociadas a las osteotomías. Están contraindicadas en los estadios avanzados (IIIB y IV).

Figura 9

Figura 10: colgajo vascularizado de la 4a-5a arteria intermetacarpiana dorsal
Medidas paliativas
de la patología de Kienböck
Las medidas paliativas se realizan en los estadios más avanzados y hay 2 tipos principales: la carpectomía proximal y las artrodesis.
Carpectomía proximal
La carpectomía proximal o resección de la fila proximal del radio consiste en resecar los 3 huesos que forman la primera hilera de la muñeca: el escafoides, el semilunar y el piramidal (figuras 11 y 12). Para poderla realizar es imprescindible el buen estado de la superficie articular de la cabeza del hueso grande y de la carilla semilunar del radio. Se realiza a pacientes que precisan baja demanda funcional de la muñeca.

Figura 11

Figuras 11 y 12: resección de la 1ª hilera del carpo
(la cabeza del hueso grande pasa a articularse con la fosita semilunar del radio)
Artrodesis en la lesión de Kienböck
La artrodesis de la enfermedad de Kienböck consiste en fusionar una articulación y en la muñeca se pueden realizar parcial o total.
La artrodesis parcial está indicada en los estadios II y III. Se pueden fusionar varios huesos y existen múltiples técnicas. Una de las más utilizadas es la artrosis escafo-trapecio-trapezoidea que actúa a modo de descompresión del semilunar.
Otras también muy realizadas son la artrodesis del hueso grande con el escafoides o con el ganchoso. La operación de Graner II consiste en extipar el semilunar, realizar una osteotomía de alargamiento del hueso grande con injerto y realizar una artrodesis del hueso grande con el escafoides y/o con el ganchoso (figura 13).

Figura 13: esquema de la cirugía de Graner en estadios avanzados de Kienböck
Artrodesis total de muñeca para la enfermedad de Kienböck
La artrodesis total de muñeca como tratamiento de la enfermedad de Kienböck consiste en fusionar el radio con el carpo, de tal manera que se pierde la extensión y flexión de la muñeca (a menudo muy disminuida en los estadios avanzados de Kienböck). Está indicada en pacientes con alta demanda funcional en estadios IIIB y IV. Nosotros optamos en estos casos optamos por esta técnica debido a los buenos resultados en la disminución del dolor y en la ganancia de fuerza (figura 14).

Figura 14: artrodesis total de muñeca sintetizada con placa
Denervación de muñeca
La denervación de muñeca es una técnica paliativa que consiste en lesionar varias ramas nerviosas para disminuir el dolor. Se puede realizar solo o asociada a otras técnicas.
El papel de la artroscopia
La artroscopia de muñeca en la enfermedad de Kienböck sirve de apoyo en el diagnóstico y en el estadiaje al ser la mejor técnica para visualizar las superficies articulares.
También tiene su papel terapéutico al poder realizar un desbridamiento (limpieza) de las zonas necróticas y aliviar los síntomas.
Postoperatorio de la Enfermedad de Kienböck
El postoperatorio de la enfermedad de Kienböck depende del tipo de cirugía realizada.
En la mayoría de las cirugías descritas se coloca una férula en el antebrazo entre 2 y 4 semanas.
Posteriormente se comienza rehabilitación para la recuperación de la movilidad y se deben evitar esfuerzos excesivos durante 8 semanas.
Aspectos clave durante el postoperatorio de la patología de Kienböck son:
→ Seguimiento médico continuo: Es esencial asistir a todas las citas para garantizar que la muñeca esté sanando correctamente.
→ Paciencia y compromiso: La rehabilitación puede ser lenta, pero es crucial para obtener los mejores resultados a largo plazo.
→ Cuidado personal: Evitar movimientos bruscos, cargar peso excesivo o realizar actividades que puedan comprometer la recuperación.
→ Riesgos y complicaciones: Estar atento a signos de infección, dolor inusual o problemas de movilidad y comunicarlos al médico de inmediato.
Con un plan de recuperación adecuado, la mayoría de los pacientes logra mejorar significativamente la funcionalidad y reducir el dolor.