Fractura
del Escafoides

¿En qué consiste la fractura del escafoides?

El escafoides es uno de los 8 huesos del carpo. Más de la mitad del escafoides está recubierto de cartílago articular, con una vascularización precaria a través de la rama carpiana dorsal, dependiente de la arteria radial.

La fractura del escafoides es una lesión en uno de los huesos pequeños del carpo llamado escafoides, ubicado en la base del pulgar, entre el radio y los demás huesos del carpo.

Es la fractura más común entre los huesos del carpo y puede ser difícil de diagnosticar, ya que en algunos casos no se detecta en las radiografías iniciales.

La fractura del hueso escafoides es la más frecuente del carpo (60-70%) y la segunda más frecuente que afecta ala muñeca, después de las fracturas de radio distal.

A menudo, la fractura del escafoides no se trata se una lesión aislada y se asocia a otras lesiones que se diagnostican mediante resonancia magnética y/o artroscopia.

Su ubicación estratégica lo hace crucial para la estabilidad de la muñeca.

Su irrigación sanguínea es única y limitada, especialmente en el polo proximal, lo que aumenta el riesgo de complicaciones como necrosis avascular en caso de fractura.

Posibles causas de la fractura del escafoides

La fractura del escafoides suele ocurrir por:

– Caídas sobre la mano extendida, con la muñeca en hiperextensión (doblada hacia atrás) y desviación radial.
– Traumatismos directos en la muñeca, como golpes en la base del pulgar.
– Lesiones deportivas o accidentes que involucren impacto en la muñeca.

anatomía de la mano y hueso escafoides

Síntomas de la Enfermedad de Kienböck

Se debe sospechar una fractura de escafoides tras una caída con la palma de la mano con la muñeca en extensión y ligera desviación radial.

El paciente presentará dolor en la tabaquera anatómica y/o dolor con la compresión axial del 1º y 2º metacarpiano.

En ocasiones, no producen clínica y se diagnostican de forma tardía con signos degenerativos.

En resúmen, los principales síntomas de una fractura del escafoides son:

» Dolor en la tabaquera anatómica: Una depresión triangular en la base del pulgar, visible cuando este está extendido.
»  Inflamación y sensibilidad en la cara radial de la muñeca.
»  Dificultad para mover la muñeca o el pulgar.
»  Dolor al intentar realizar movimientos de agarre o cargar peso.

síntomas de la fractura del escafoides

Diagnóstico de la Enfermedad

Aunque el diagnóstico de la fractura del escafoides es habitualmente clínico, se pueden realizar pruebas complementarias.

→ La radiografía simple es en ocasiones anodina en el momento inicial. Si existe una clara sospecha clínica de fractura de escafoides y la radiografía inicial no muestra fractura, está indicado inmovilizar con férula o yeso incluyendo el pulgar y repetir la radiografía pasadas 2-3 semanas.  

→ La tomografía computerizada permite valorar el desplazamiento, la conminución de la fractura y la evaluación en casos de pseudoartrosis.

→ La resonancia magnética permite realizar un diagnóstico precoz y un seguimiento evolutivo de la vascularización.

La resonancia magnética (RM) o tomografía computarizada (TC), ayudan a confirmar fracturas no detectadas en radiografías y evalúan la extensión de la lesión.

Complicaciones de la lesión

Si no se trata adecuadamente, la fractura del escafoides puede llevar a:

Ξ Pseudoartrosis: Falta de consolidación del hueso.
Ξ Necrosis avascular: Muerte del tejido óseo en el polo proximal debido a la irrigación limitada.
Ξ Artrosis de la muñeca: Por alteraciones biomecánicas a largo plazo.

El tratamiento temprano es clave para prevenir estas complicaciones y lograr una recuperación completa.

Clasificación de las fracturas del hueso escafoides

Las fracturas del escafoides se clasifican principalmente según su ubicación anatómica, el patrón de fractura y la estabilidad.

Esta clasificación es importante porque la irrigación sanguínea del escafoides es limitada, lo que predispone a problemas de consolidación y necrosis avascular, especialmente en ciertas áreas.

Clasificación según la ubicación anatómica

  1. Tubérculo del escafoides. Es la región más distal del hueso. Estas fracturas suelen consolidar rápidamente debido a su mejor irrigación sanguínea.
  2. Fracturas de la cintura o cuerpo del escafoides. Representan la mayoría de las fracturas (70%). Tienen mayor riesgo de complicaciones debido a la irrigación limitada, especialmente en el polo proximal.
  3. Fracturas del polo proximal del escafoides. Representan aproximadamente el 20% de las fracturas.Son las más graves debido a la irrigación retrógrada del escafoides, lo que aumenta el riesgo de necrosis avascular.
  4. Fracturas transescafoperilunares. Estas son fracturas-luxaciones asociadas con lesiones más complejas del carpo.

Clasificación según la estabilidad

  • Fracturas estables

    • No hay desplazamiento significativo (generalmente <1 mm).
    • Tienen mayor probabilidad de consolidar con tratamiento conservador (yeso o inmovilización).
  • Fracturas inestables

    • Hay desplazamiento >1 mm o angulación del hueso.
    • Suelen requerir tratamiento quirúrgico debido a un mayor riesgo de mala consolidación o pseudoartrosis.

Clasificación según el patrón de fractura

  1. Transversas. Frecuentes en la cintura del escafoides.
    Generalmente tienen menor estabilidad.
  2. Oblicuas. Pueden ser estables o inestables dependiendo de la ubicación y desplazamiento.
  3. Conminutas. Fracturas en las que el hueso se rompe en múltiples fragmentos. Suele ocurrir en traumatismos de alta energía y conlleva mayor complejidad quirúrgica.

Clasificación de Herbert (clínica y radiológica)

Esta clasificación tiene en cuenta la estabilidad y las características del trazo de fractura:

  1. Tipo A: Fracturas estables.

    • A1: Fractura del tubérculo distal.
    • A2: Fractura incompleta (fisura).
  2. Tipo B: Fracturas inestables.

    • B1: Fractura oblicua distal.
    • B2: Fractura desplazada del cuerpo.
    • B3: Fractura del polo proximal.
    • B4: Fractura transescafoperilunar (asociada a luxación).
    • B5: Fractura conminuta.
  3. Tipo C: Fracturas retardadas en su consolidación.

  4. Tipo D: Pseudoartrosis (falta de consolidación).

    • D1: Sin necrosis avascular.
    • D2: Con necrosis avascular.
Fractura del Escafoides. Fractura del Polo Proximal

Fractura del Polo Proximal

Fractura del Escafoides Pseudoartrosis escafoides injerto con tornillo

Pseudoartrosis escafoides injerto con tornillo

Fractura del Escafoides

Fractura del Escafoides

Pseudoartrosis del tercio medio

Pseudoartrosis del tercio medio

Fractura del Escafoides Pseudoartrosis del tercio medio

Fractura del escafoides. Pseudoartrosis del tercio medio

Pseudoartrosis. Inestabilidad Dorsal del Segmento Intermedio. DISI

Pseudoartrosis. Inestabilidad Dorsal del Segmento Intermedio. DISI

Fractura del polo proxima del escafoides de la mano

Fractura del escafoides. Polo Proximal

Fractura de escafoides de la mano. Polo Proximal

Fractura del escafoides. Pseudoartrosis del tercio medio

Pseudoartrosis bilateral del escafoides

Pseudoartrosis bilateral del escafoides

Descubre cómo nuestros especialistas en traumatología y cirugía de la mano

pueden ayudarte en el tratamiento de las fracturas del escafoides; a recuperar movilidad y evitar complicaciones. El cuidado experto que necesitas. Agenda tu consulta y da el primer paso hacia una recuperación completa
8.8.8

Tratamiento de las fracturas del escafoides

El tratamiento de la fractura del escafoides depende de la clasificación, la estabilidad y la presencia de complicaciones.

Puede incluir inmovilización, fijación quirúrgica con tornillos o injertos óseos en casos avanzados.

Es fundamental un diagnóstico temprano mediante estudios de imagen (rayos X, TC o RM) para planificar un manejo adecuado y prevenir complicaciones a largo plazo.

Tratamiento conservador no quirúrgico

El tratamiento no quirúrgico de la fractura del escafoides está indicado en aquellos casos de fracturas no desplazadas, fracturas ocultas o fracturas incompletas. Se realiza mediante la colocación de un yeso por debajo del codo durante un periodo variable que oscila entre los 2 y los 4 meses.

Tratamiento quirúrgico de las fracturas del escafoides

El tratamamiento quirúrgico de la fractura del escafoides puede ser mediante:
  • Osteosíntesis percutánea o con abordaje mini-open en aquellos casos de fracturas no desplazadas del escafoides o con mínimo desplazamiento. Está indicado en pacientes jóvenes y/o deportistas. Se trata de una técnica que requiere cierto grado de experiencia, proporcionando excelentes resultados funcionales acortando de forma considerable los periodos de recuperación y una incorporación más temprana al trabajo-deporte.

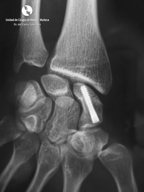
  • Osteosíntesis abierta de las fracturas del escafoides: se puede realizar mediante abordaje volar o dorsal. El abordaje volar permite la visualización completa del escafoides. La síntesis de la fractura se realiza mediante un tornillo canulado.

  • Osteosíntesis del escafoides asistida por artroscopia: La técnica asistida por artroscopia, proporciona una menor lesión de partes blandas, así como la visualización directa de lesiones ligamentosas asociadas. Se realiza mediante pequeños abordajes en la muñeca, a través de los cuales se introduce una cámara que permite comprobar la reducción anatómica de la fractura. La síntesis también se realiza mediante un tornillo canulado.
Fractura del escafoides. Reconstruccion con TAC

Fractura del escafoides. Reconstrucción con TAC

Fractura del Escafoides.Síntesis-Dorsal de Fractura

Síntesis Dorsal de Fractura

Fractura del Escafoides Injerto en Ps

Fractura del Escafoides Injerto en Ps

Fractura del Escafoides Tornillo con Injerto

Fractura del Escafoides Tornillo con Injerto

Fractura del Síntesis Percutánea Dorsal.

Fractura del Síntesis Percutánea Dorsal.

Fractura del Escafoides.-Introducción de Tornillo en Fractura

Fractura del Escafoides.-Introducción de Tornillo en Fractura

Pseudoartrosis del escafoides. Russe con agujas

Pseudoartrosis del escafoides. Russe con agujas.
A continuación, Fractura del Escafoides. Síntesis

Fractura del Escafoides. Síntesis

Fractura del escafoides: Postoperatorio

Tras la cirugía abierta, el paciente llevará una férula hasta la primera cura.

La osteosíntesis percutánea permite una movilización precoz y un menor tiempo de recuperación.

¿Qué resultados tiene la cirugía para la fractura del escafoides?

En los casos de fracturas no desplazadas, fracturas ocultas o de trazo incompleto, los resultados funcionales son satisfactorios. En el tratamiento conservador existe una tasa de complicaciones próxima al 30% (sobretodo por ausencia de consolidación).

Numerosos estudios han demostrado una disminución de los tiempos de recuperación, así como una incorporación más temprana a la actividad laboral-deportiva en aquellos casos tratados de forma quirúrgica.

Los resultados finales son similares tanto en la cirugía abierta como en la cirugía percutánea. No se recomienda la retirada del material de osteosíntesis (tornillo percutáneo).