Rizartrosis
Artrosis del Pulgar
¿Qué es la rizartrosis?
La Rizartrosis, o artrosis de la raíz del pulgar, es la lesión degenerativa más frecuente en la mano debida al desgaste progresivo de la articulación entre el trapecio y el primer metacarpiano.
Es una de las artrosis más comunes en la mano, particularmente en mujeres mayores de 50 años, aunque puede presentarse en cualquier persona, especialmente en casos de uso excesivo o lesiones previas en la articulación.
Si bien es mucho más frecuente en mujeres entre la quinta y sexta décadas de la vida, con mayor afectación de la mano dominante, la bilateralidad no es infrecuente.
En ocasiones, en lugar de ser degenerativa, la rizartrosis se produce por fracturas de la base del metacarpiano que no consolidan adecuadamente, quedando la articulación en mal estado. Como secuela quedará una incongruencia articular que, con el tiempo, producirá una artrosis trapecio-metacarpiana o Rizartrosis.
¿Cómo se Manifiesta la Rizartrosis?

La rizartrosis ocurre por el desgaste progresivo del cartílago que recubre las superficies articulares. Las principales causas incluyen:
- Degeneración natural: Envejecimiento y uso prolongado de la articulación.
- Factores mecánicos: Uso excesivo o repetitivo del pulgar (por ejemplo, trabajos manuales o movimientos repetitivos).
- Lesiones previas: Luxaciones, fracturas o traumatismos que hayan afectado la articulación.
- Predisposición genética: Historia familiar de artrosis.
- Condiciones asociadas: Alteraciones en los ligamentos o inflamaciones articulares, como en casos de artritis reumatoide.
Síntomas de la artrosis del pulgar
El paciente con rizartrosis suele referir dolor en la base del pulgar durante sus actividades de la vida diaria, que cede con el reposo, y deformidad ha dicho nivel.
El dolor suele manifestarse al agarrar los objetos y al realizar los movimientos del pulgar como la pinza y el girar unas llaves.

Los síntomas progresan con el tiempo y afectan tanto la función como la calidad de vida:
- Dolor:
- Dolor en la base del pulgar que aumenta con actividades que implican pinza o agarre (abrir frascos, girar llaves).
- Dolor en reposo en etapas avanzadas.
- Inflamación y rigidez:
- Sensación de hinchazón en la base del pulgar.
- Limitación para mover el pulgar libremente.
- Deformidad:
- Aparición de un «hueso prominente» en la base del pulgar (subluxación del primer metacarpiano).
- Pérdida de fuerza:
- Dificultad para sostener objetos o realizar tareas cotidianas.
Diagnóstico de la lesión
Al observar la mano del paciente, casi siempre veremos ligera deformidad en la base del pulgar.
Al explorarle, los movimientos de la articulación entre el trapecio y el metacarpiano serán dolorosos.
Radiológicamente, el espacio entre el trapecio y el metacarpiano ha disminuido.
Dependiendo del grado de evolución de la rizartrosis, esta disminución del espacio articular puede evolucionar desde un ligero “pinzamiento” hasta una completa destrucción de la articulación.

El diagnóstico se basa en una combinación de:
- Historia clínica: Evaluación de los síntomas, duración y actividades que los agravan.
- Examen físico:
- Prueba de Grind Test: Consiste en aplicar presión y movimientos de rotación en la articulación afectada para provocar dolor.
- Evaluación de la movilidad, sensibilidad y fuerza del pulgar.
- Estudios de imagen:
- Radiografía: Permite visualizar el grado de desgaste articular, estrechamiento del espacio articular y deformidades óseas.
- Resonancia magnética (RM): Útil para evaluar daños en tejidos blandos asociados, aunque no es siempre necesaria.
Descubre cómo nuestros especialistas en traumatología y cirugía de la mano
pueden ayudarte en el tratamiento de la rizartrosis, evitar el dolor y mejorar la movilidad y funcionalidad de la mano. Si experimentas dolor en la base del pulgar o dificultades para realizar tareas cotidianas, agenda tu consulta y da el primer paso hacia una recuperación completa.
Tratamiento de la rizartrosis
El tratamiento de la Rizartrosis puede ser ortopédico o quirúrgico
Opciones no quirúrgicas (tratamiento conservador)
En una fase inicial, con un dolor que no le impida realizar sus actividades de la vida diaria, recomendamos un tratamiento ortopédico de la rizartrosis, colocando una férula de inmovilización del pulgar durante ocho horas diarias de manera continua.
Pensamos que, la única forma de conseguir esa inmovilización continua es durante la noche.
Son muchas las férulas que existen el mercado y lo que intentamos conseguir es una inmovilización rígida de la base del pulgar.
Adecuado para etapas iniciales o moderadas:
- Modificación de actividades: Reducir movimientos repetitivos o esfuerzos excesivos con el pulgar.
- Férulas y ortesis: Inmovilizan la articulación para aliviar el dolor y reducir la inflamación.
- Terapia física: Ejercicios para fortalecer los músculos del pulgar y mejorar su estabilidad.
- Medicamentos:
- Analgésicos y antiinflamatorios no esteroides (AINEs).
- Infiltraciones de corticosteroides para aliviar el dolor temporalmente.
- Terapias avanzadas: Infiltraciones con ácido hialurónico o PRP (plasma rico en plaquetas) en etapas tempranas.

Cirugía de la rizartrosis
La cirugía de la rizartrosis está indicada en casos avanzados; cuando el dolor y la limitación funcional no responden a los tratamientos conservadores.
Si durante un mínimo de 4-6 meses no hemos conseguido mejoría de la sintomatología y el paciente se siente incapacitado incluso para realizar sus actividades de la vida diaria, recurrimos al tratamiento quirúrgico de esta lesión.
En nuestra Unidad realizamos tres técnicas quirúrgicas para la rizartrosis:
1ª) Extirpación del trapecio y colocación, en el espacio que queda, de un injerto tendinoso.
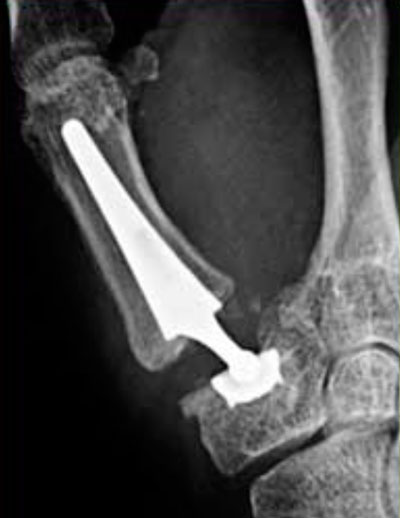
2ª) Extirpación del trapecio y colocación entre primer y segundo metacarpiano de un sistema de suspensión para que el espacio que ha dejado el trapecio se rellene de sangre y tejido fibroso.
Este sistema de suspensión se llama “MiniThighrope” (Arthrex) y evita que el primer metacarpiano “caiga” en el espacio que ha dejado el trapecio. El cual se rellenará de tejido cicatricial y coágulos y actuará como un sistema de amortiguación evitando el roce entre dos huesos y, por tanto, el dolor.
3ª) Colocación de una prótesis trapecio metacarpiana.

Extirpación del trapecio y colocación entre primer y segundo metacarpiano. Tratamiento 1

colocación de un espaciador entre primer y segundo metacarpiano tras extirpación del trapecio. Trataamiento 2

Prótesis trapeciometacarpiana. Tratamiento 3.

Imagen de prótesis trapeciometacarpiana. Tratamiento 3.
¿De qué depende la elección del tratamiento quirúrgico de la rizartrosis?
- Actividad
- Estado del Trapecio
- La Edad
En una persona relativamente joven con Rizartrosis como secuela de un traumatismo (ya que el proceso puramente degenerativo es difícil verlo por debajo de 50 años) preferimos realizar la extirpación del trapecio y utilizar cualquiera de las otras dos técnicas a una prótesis. Aunque dado el resultado de estas, estamos bajando el criterio de “edad” cada vez a gente más joven.
Rehabilitación tras cirugía de rizartrosis
Una articulación intervenida e inmovilizada 3 semanas, que es el tiempo de inmovilización post-operatoria, va a tener dificultad en la movilidad inmediata por lo que recomendamos un tiempo de unas 3-4-semanas de rehabilitación de la mano en centro especializado.
Resultados de la cirugía de la artrosis del dedo pulgar
Los resultados de la cirugía de rizartrosis suelen ser altamente positivos, especialmente cuando se realiza en pacientes con dolor persistente y limitaciones funcionales severas que no responden a tratamientos conservadores.
¿Cuándo puedo hacer una vida normal tras una cirugía?
Depende de la técnica utilizada.
Habitualmente, las prótesis tienen una recuperación más rápida que la cirugía de extirpación del trapecio. Pero, tanto en una técnica como en otra, lo más frecuente es que a los tres meses haya desaparecido completamente el dolor y se haya recuperado la movilidad.
Debemos saber que, en cirugía, los tiempos son relativos: hay personas que van a tardar más tiempo en recuperarse y otros van a tener una recuperación mucho más rápida.
El resultado está siendo muy bueno en cualquiera de los tres tratamientos quirúrgicos de la rizartrosis,con desaparición del dolor y mejoría de la movilidad.
Existen otros tratamientos pero nosotros, en la Unidad de Cirugía de la Mano, hemos optado por los que nos parecen más adecuados para el paciente y con los que se obtienen los mejores resultados.
Beneficios principales
Los resultados de la cirugía de rizartrosis suelen ser altamente positivos, especialmente cuando se realiza en pacientes con dolor persistente y limitaciones funcionales severas que no responden a tratamientos conservadores.
Los principales beneficios de someterse a la cirugía de la rizartrosis son:
- Reducción significativa del dolor:
La cirugía elimina el roce entre los huesos que causa el dolor, ofreciendo alivio duradero. - Recuperación de la funcionalidad:
La mayoría de los pacientes recuperan la capacidad para realizar tareas cotidianas como escribir, abrir frascos o sujetar objetos. - Mejora de la calidad de vida:
La reducción del dolor y el aumento de la fuerza y movilidad permiten retomar actividades diarias y laborales con comodidad.
Tasas de éxito y complicaciones
- Tasa de éxito: Entre el 85% y 95% de los pacientes reportan resultados satisfactorios.
- Complicaciones poco comunes:
- Infección postquirúrgica.
- Rigidez o debilidad residual.
- Síndrome de dolor regional complejo (muy raro).
Factores que influyen en los resultados
- Edad del paciente: Los pacientes más jóvenes pueden requerir cuidados adicionales para proteger la articulación en el futuro.
- Grado de daño articular: Los casos avanzados pueden necesitar un enfoque quirúrgico más complejo.
- Rehabilitación postoperatoria: La fisioterapia es clave para garantizar la recuperación óptima.
En general, con un buen seguimiento médico y rehabilitación, los resultados son muy positivos, permitiendo a los pacientes recuperar su calidad de vida de manera significativa.
La rizartrosis ¿se puede prevenir?
Algunos consejos o medidas preventivas de esta patología degenerativa son:
- Evitar movimientos repetitivos: Minimizar actividades que sobrecarguen el pulgar.
- Fortalecer la mano: Ejercicios regulares para mantener las articulaciones y músculos saludables.
- Mantener una postura adecuada: Utilizar herramientas ergonómicas y descansar las manos cuando sea necesario.